原发性肝癌是全球常见恶性肿瘤之一,其中以肝细胞癌(HCC)最为常见,占总病例数的75%-85%1。在我国,大多数HCC患者在初诊时已进展至中晚期阶段,即便接受根治性手术,术后5年内复发或转移的发生率仍高达70%左右,严重影响患者的长期生存1。对于此类患者而言,合理选择系统治疗方案是延长生存期的核心策略之一。近年来,免疫联合靶向治疗已成为晚期HCC领域的重要治疗手段。本期分享一例54岁Ⅸb段、Ⅶ段HCC患者的诊疗实践:在经历数程消融+TACE治疗多次复发并出现转移后,采用卡瑞利珠单抗与阿帕替尼方案(“双艾”方案)进行治疗,并对复发灶进行立体定向放疗(SBRT),之后使用“双艾”方案维持治疗,获益显著,患者总生存期(OS)已超过101个月。该病例提示,“双艾”方案有望为术后复发转移的晚期HCC患者提供一种有效的治疗策略。
病例分享
患者男性,54岁。
现病史:社区筛查发现肝结节,未予治疗。
既往史:“小三阳”病史10+年,“天疱疮”(治疗中)。
实验室检查:
血常规三系正常,“大三阳”,肝功能Tbil 12.5 U/L、ALB 45.7 G/L;甲胎蛋白(AFP)81.98 ng/mL。
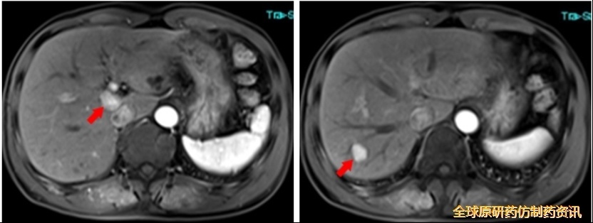
MRI检查:

图1 MRI检查结果
PET/CT检查:
Ⅸb段、Ⅶ段低密度结节,部分代谢增高,考虑HCC,肝外未见转移。

图2 PET/CT检查结果
1.Ⅸb段HCC;
2.Ⅶ段HCC;
3.肝硬化代偿期;
4.乙型病毒携带者;
5.天疱疮。
首次消融(2017.09.27)
Ⅶ段病灶进行穿刺活检及消融处理,右第8、9肋间隙可见Ⅸb段病灶消融的术前定位针;
消融针穿透Ⅸb病灶,紧邻门静脉主干、下腔静脉;
消融结束,消融区见条状混杂密度灶,相邻门静脉、腔静脉未见异常。

图3 九段消融示意图
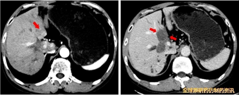
术后2周复查(2017.10)
CT检查:Ⅸb、Ⅶ段术区未见异常强化,疗效评价:完全消融。

图4 CT复查结果
术后13个月复查(2018.10)
AFP 148.4 ng/mL;
CT发现原肝Ⅸb段病灶旁、门静脉右支上方结节状异常强化灶,考虑肝癌复发。

图5 CT复查结果
第二次消融(2018.10.24)
患者拒绝切除、移植,再次予以消融;
融针穿透Ⅸb病灶,紧邻门静脉主干;
消融结束,术区见条状混杂密度灶,相邻门静脉、腔静脉未见异常;
消融术后予以TACE 1次。

图6 第二次消融示意图
第二次消融术后1个月复查(2018.11)
CT复查:Ⅸb段术区未见异常强化。

图7 CT复查结果
首次术后25个月复查(即第二次消融术后12个月,2019.11)
AFP 221.45 ng/mL;
CT提示肝Ⅳ段强化灶,考虑肝Ⅳ段复发癌。

图8 CT复查结果
第三次消融(2019.11.20)
予以第三次消融及术后TACE 2次。
首次消融术后45个月复查(即第三次消融术后20个月,2021.07)
AFP 5638 ng/mL;
MRI增强见肝Ⅸc段强化结节,考虑肝Ⅸc段肿瘤复发。

图9 MRI增强检查结果
第四次消融(2021.07.28)
CT消融过程中,消融针从门-腔间隙穿透肿瘤;
消融毕,术区呈条状密度增高灶,相邻胆管、血管无扩张、积气。

图10 第四次消融示意图
第四次消融术后1个月复查(2021.08)
术后1月余,肝Ⅸc段术区消融彻底,未见异常强化灶。

图11 MRI复查结果
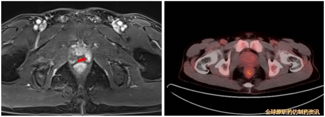
首次消融术后46个月复查(2021.08)
第四次消融1个月后发现前列腺特异性抗原(PSA)升高;
MRI提示前列腺左外叶异常强化灶,考虑恶性肿瘤;

图12 MRI复查结果
于B超引导下经直肠行前列腺穿刺活检术。病理诊断1 号、7 号切片:CK18(+)、CK19(+)、Hepatocyte(−)、CD34(+,显示肝窦毛细血管化);34βE12、AMACR、P63(均−);Ki-67( 3% +)。结合免疫组化结果,符合肝细胞癌转移。

图13 病理检查报告
予以靶向联合免疫治疗(2021.08.31)
治疗方案为卡瑞利珠单抗联合阿帕替尼(“双艾”方案)。
靶免联合方案治疗3个月后复查(2021.12)
AFP 8731 ng/mL;
MRI示肝S9c段下方稍低信号结节;
PET/CT提示S9c段结节氟代脱氧葡萄糖(FDG)代谢明显增高;考虑S9c段复发;全身其他部位糖代谢未见明显异常。
予以靶免联合方案+SBRT治疗(2022.01.06)
在“双艾”方案基础上对Ⅸc段复发病灶行SBRT治疗(共7次,累计剂量为56Gy);
放疗后,继续使用“双艾”方案治疗。
靶免联合方案+SBRT治疗后2个月后复查(2022.03)
AFP 2.91 ng/mL;
CT示肝Ⅸc段未见强化影,疗效评价为完全缓解(CR)。

图14 复发转移及治疗复查结果对比
维持治疗3年后复查(2025.08)
上腹部CT(2025.08.23):肝左叶及右叶S6、7段多发异常信号影,拟治疗后改变。

图15 CT复查结果
末次随访情况
2022.03缓解后,一直坚持使用“双艾”方案巩固维持;
AFP(2026.03.05):1.4 ng/mL;
上腹部MRI复查(2026.03.07):增强扫描动脉期肝S6强化结节,较强增大,待排子灶;动脉期S6新见强化结节,待排子灶;
前列腺MRI复查(2026.03.08):前列腺中央腺体增生伴多发增生结节较前相仿;左侧外周带异常信号结节,较前范围稍增大;前列腺双侧外周带异常斑片强化影,程度较前稍减轻;双侧腹股沟区小淋巴结;
OS已经超过101个月,患者生活质量好,“天疱疮”也已治愈。
治疗小结
本例为一例Ⅸb段、Ⅶ段HCC患者,经历过4次消融或消融+TACE治疗后仍出现复发,且出现了前列腺转移,后改为卡瑞利珠单抗+阿帕替尼治疗,3个月后AFP升高至8731 ng/mL,Ⅸc段复发,针对复发灶进行了7次SBRT,同时“双艾”方案按疗程持续治疗。2个月后复查AFP降至正常范围(2.91 ng/mL),CT示肝Ⅸc段未见强化影,疗效评价达CR。之后持续采用“双艾”方案维持治疗,并定期复查。患者从首次发现肝癌至今,经过54个月的综合治疗,后续采用“双艾”方案治疗维持47个月,目前患者生存期已经超过了101个月。
专家点评
HCC是最常见的原发性肝癌类型,由于起病隐匿,我国约70%的HCC患者初诊时即为中晚期,可接受手术的患者仍容易出现复发转移,临床尚需探索更多有效治疗手段2。近年来,免疫治疗的兴起为晚期HCC带来了革命性突破,尤其是以免疫检查点抑制剂联合抗血管生成靶向药物的联合方案显著延长了患者生存期,改变了以往治疗选择匮乏的困境。
CARES-310是全球首个获得双终点阳性的免疫联合靶向方案用于HCC一线治疗的随机对照III期研究,评估了我国自主研发的PD-1抑制剂卡瑞利珠单抗联合高选择性VEGFR-2抑制剂阿帕替尼对比标准治疗索拉非尼在晚期HCC一线治疗中的疗效和安全性。最终分析显示,相较索拉非尼组,联合治疗组在OS(两组中位OS分别为23.8个月和15.2个月,HR=0.64)和无进展生存期(两组中位PFS分别为5.6个月和3.7个月,HR=0.54)方面获得了双重获益,且各预设亚组获益一致,安全性特征与既往报告相符,延长随访未发现新的迟发性安全信号3。此外,相较索拉非尼组,联合治疗组确认的客观缓解率(ORR,mRECIST标准)达33.1%;中位至缓解时间(TTR)仅1.9个月,起效更快;中位缓解持续时间(DoR)达14.8个月,疗效更持久3。值得关注的是,CARES-310研究全文荣登医学顶刊《柳叶刀》,在全球范围内证实了“双艾”方案在晚期HCC一线治疗中的重要价值。目前,“双艾”方案已获得《中国临床肿瘤学会(CSCO)原发性肝癌诊疗指南(2024版)》的I级推荐用于晚期HCC一线治疗(1A类证据)4。
本例54岁患者确诊为Ⅸb段、Ⅶ段HCC,先后经历过4次消融或消融+TACE治疗,尽管每次术后可达到CR,但仍无法避免复发,更在4次治疗后出现前列腺转移。遂改换治疗方案,采用“双艾”方案进行靶免联合治疗,3个月后由于Ⅸc段复发,在“双艾”方案基础上采用了SBRT治疗,疗效达到CR。此后持续采用“双艾”方案维持治疗,患者生活质量得以改善。
综上所述,“双艾”方案为这例历经多次消融及TACE治疗、仍出现反复复发及远处转移的晚期HCC患者,带来了快速且持久的生存获益。截至目前,患者OS已超过101个月。本例患者的成功治疗经验,或可为术后复发转移的晚期HCC患者的临床诊疗提供有价值的参考。
病例提供专家
- 周上军 副教授 -
主任医师,副教授,硕士生导师
东莞市公立医院医学骨干人才
广州中医药大学东莞医院肝胆胰中心医疗组长
广东省基层医药学会中西结合肝胆外科专业委员会常务委员
广东省研究型医院学会肝胆胰外科专业委员会常务委员
广东省中西医结合学会普通外科专业委员会常务委员
广东省医学会肝胆胰专业委员会委员
广东省中医药学会外科专业委员会委员
广东省基础医药学会肝胆肿瘤康复专业委员会委员
广东省肿瘤康复学会肝胆胰分会东莞委员会委员
东莞市中医药学会中西医结合外科专委会常委及秘书
东莞市医学会减重与代谢外科副主任委员
东莞市医学会疝与腹壁外科专业委员会副主任委员
东莞市医学会消化道肿瘤专业委员会常委
东莞市医学会微创外科专业委员会委员
东莞市医学会内镜外科委员会委员
病例点评专家
- 王在国 教授 -
主任医师,教授,岭南名医,人民好医生
广东省东莞市中医院肝胆胰中心主任.肝癌MDT小组组长
原四川省肿瘤医院肝胆胰外科主任医师(2001年前)
原广东省东莞市人民医院肿瘤科主任兼肿瘤外科学科带头人(2005-2016)
原广东省东莞市人民医院外科主任兼肝胆胰外科学科带头人(2016-2024)
中国医药教育协会腹部肿瘤医学综合康复分会常务委员
中国抗癌协会肿瘤微创治疗专委会肿瘤外科微创专家委员会委员
广东省抗癌协会肝癌专业委会副主任委员(第4-5届)
四川省抗癌协会肝癌专业委会副主任委员(1999-2001)
深圳市抗癌协会肝癌专业委会副主任委员
广东省医学会肝胆胰外科分会常务委员兼肝脏外科学组副组长
广东省医学会肝癌专业委员会常务委员
广东省医师协会胰腺病专业医师分会常务委员
广东省医师协会肝胆外科医师分会常务委员
东莞市医学会肿瘤学分会主任委员(第1-2届)
中国肿瘤外科、中国普外基础与临床、岭南现代外科杂志编委
中华肝胆外科杂志(第4届)、当代医学杂志编委
“健康中国-肝胆病防治行动”全国肝胆病咨询专家
参考文献:
1.肝细胞癌全程管理中国专家共识(2023版).
2.TOH M R,WONG E Y T,WONG S H,et al. Global epidemiology and genetics of hepatocellular carcinoma[J]. Gastroenterology,2023,164(5):766-782.
3.Qin S, Gu S, Chan SL, et al. Camrelizumab plus rivoceranib versus sorafenib as first-line therapy for unresectable hepatocellular carcinoma (CARES-310): final analysis of a randomised, open-label, international, phase 3 study. Lancet Oncol. 2025;26(12):1598-1611.
4. CSCO原发性肝癌诊疗指南(2024版).
撰写:Capps
审校:Chiu
排版:Checky
执行:Squid
本平台旨在为医疗卫生专业人士传递更多医学信息。本平台发布的内容,不能以任何方式取代专业的医疗指导,也不应被视为诊疗建议。如该等信息被用于了解医学信息以外的目的,本平台不承担相关责任。本平台对发布的内容,并不代表同意其描述和观点。若涉及版权问题,烦请权利人与我们联系,我们将尽快处理。
生成海报
长按扫码关注公众号