自然杀伤细胞(NK细胞)是由造血干细胞分化而来的先天免疫细胞,作为人体第三类淋巴细胞,它既可直接杀伤肿瘤细胞,又能通过调节肿瘤微环境发挥抗癌与抗病毒双重作用,堪称人体对抗癌细胞的“天然斗士”!
更令人振奋的是,值此2025年岁末,NK细胞疗法已在淋巴瘤、胰腺癌、脑瘤、肝癌多癌种治疗领域,迎来突破性进展。全球肿瘤医生网小编将为大家盘点该疗法本年度的七大关键进展,为抗癌之路提供实用参考,助力大家坚定战胜癌症的信心!


AFM13是一款靶向CD30/CD16A的双特异性抗体,可通过激活NK细胞精准杀伤CD30⁺肿瘤细胞。2025年4月,国际顶尖期刊《Nature Medicine》重磅发布了其Ⅰ期临床试验(NCT04074746)的震撼数据:这项针对42例多线治疗失败的难治性复发性淋巴瘤患者的研究,采用“淋巴细胞清除治疗(2-4个周期)+AFM13-NK细胞输注”方案。
结果显示:总体反应率(ORR)92.9%、完全缓解率(CR)66.7%的优异结果——超九成患者肿瘤显著退缩,近七成患者实现肿瘤“清零”。11例患者(6例联合其他治疗,5例未联合)在治疗后14-40个月仍维持完全缓解,印证了该疗法的持久疗效。

▲图源“Nat Med”,版权归原作者所有,如无意中侵犯了知识产权,请联系我们删除
更值得关注的是,中位随访20个月时,患者2年无事件生存率(EFS)达26.2%,总生存率(OS)更是高达76.2%,显著优于传统二线治疗的预期水平。

▲图源“Nat Med”,版权归原作者所有,如无意中侵犯了知识产权,请联系我们删除


FT516是一款基于诱导多能干细胞(iPSC)的基因修饰NK细胞疗法,其核心优势为表达高亲和力、不可裂解的CD16分子,可与治疗性单克隆抗体高效协同,最大化激活抗体依赖性细胞毒性(ADCC)作用,为B细胞恶性肿瘤治疗提供新方向。
权威期刊《柳叶刀血液学》重磅发布其Ⅰ期临床研究(NCT04023071)的振奋数据,该研究共纳入56例CD20阳性B细胞淋巴瘤患者,均为经至少一线含抗CD20抗体的全身治疗后复发或难治者,其中55例接受递增剂量FT516静脉输注治疗。
结果显示:55例患者的客观缓解率(ORR)达58%(32/55),抗肿瘤活性强劲。无进展生存期(PFS)分层分析结果亮眼:侵袭性淋巴瘤PFS为2.4个月(范围:1.1-4.9个月);惰性淋巴瘤与套细胞淋巴瘤的PFS均未达到(详见下图),提示部分患者或可实现长期疾病控制。

▲图源“Lancet”,版权归原作者所有,如无意中侵犯了知识产权,请联系我们删除


2025年11月,《Nature》子刊《信号转导和靶向治疗》报道了异基因NK细胞疗法联合吉西他滨+S-1化疗(GS方案)一线治疗晚期胰腺癌的首次人体单臂非随机Ib/II期临床试验振奋数据:疾病控制率(DCR)高达73.7%,证实了该联合疗法的安全性及初步疗效。
该研究共入组25例中位年龄64岁(44-75岁)的晚期胰腺癌患者,其中局部晚期(LAPC)3例(12.0%)、转移性(MPC)22例(88.0%),32.0%(8/25)患者至少有3个转移灶。中位随访17.7个月(2.5-39.9个月),患者中位NK细胞输注周期为4个(1-13个)。
结果显示:19例可评估患者中,客观缓解率(ORR)31.6%,疾病控制率(DCR)高达73.7%,含6例部分缓解(PR)、8例病情稳定(SD,图2a);18例基线有可测量靶病灶的患者中,72.2%(13例)实现肿瘤消退。以CA19-9最大降幅衡量,52.6%(10/19)患者该指标下降≥50%,与PR、SD患者的疗效一致。

▲图源“Signal Transduct Target Ther”,版权归原作者所有,如无意中侵犯了知识产权,请联系我们删除
在生存数据方面,19例可评估患者中位无进展生存期(mPFS)6.6个月(95%CI,3.0–12.5,详见下图d),中位总生存期(mOS)10.8个月(95%CI,7.3–21.9,详见下图e)。

▲图源“Signal Transduct Target Ther”,版权归原作者所有,如无意中侵犯了知识产权,请联系我们删除


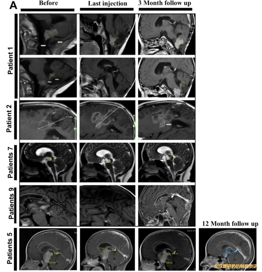
2025年《BMC Cancer》杂志发表了一项针对难治性/复发性脑肿瘤患儿的Ⅰ期非随机临床试验发现,自然杀伤(NK)细胞疗法已展现出治疗包括神经胶质瘤在内的多种恶性肿瘤的潜力,且能靶向癌症干细胞。
该研究共纳入15例3~18岁患者(平均年龄9.05±4.1岁),分为干预组(9例)与回顾性对照组(6例)。其中干预组包含7例复发难治性胶质瘤或弥漫性内在性脑桥胶质瘤(DIPG)、1例室管膜瘤及1例松果体母细胞瘤患者;治疗方案为7例患者接受10次活性NK细胞鞘内注射,2例患者接受9次注射。
结果显示:干预组9例患者中5例对治疗产生反应,包括3例病情稳定(SD)、2例部分缓解(PR)。截至2024年8月7日随访满18个月时,干预组仍有5例患者存活。

▲图源“BMC cancer”,版权归原作者所有,如无意中侵犯了知识产权,请联系我们删除
此外,Kaplan-Meier生存分析进一步表明,干预组患者在末次NK细胞注射后12个月的总生存率(OS)与无进展生存率(PFS)均达到45%(详见下图)。

▲图源“BMC cancer”,版权归原作者所有,如无意中侵犯了知识产权,请联系我们删除
疗效可通过肿瘤MRI图像直观验证——如患者7肿瘤大小保持稳定,患者5、9出现部分缓解(详见下图)。

▲图源“BMC cancer”,版权归原作者所有,如无意中侵犯了知识产权,请联系我们删除


2025年欧洲肿瘤内科学会(ESMO)大会上,一项自体NK细胞疗法联合肝动脉灌注化疗(HAIC)治疗中期/局部晚期肝细胞癌(HCC)的Ⅱa期研究,为标准治疗无效、治疗选择有限的局部晚期HCC患者带来新希望。研究纳入17例相关患者,均接受Vax-NK/HCC肝动脉输注治疗,最终16例可评估疗效。
数据显示:独立影像评估委员会(IRC)评估的客观缓解率(ORR)为68.75%(完全缓解CR 18.75%、部分缓解PR 50.00%),疾病控制率(DCR)100%;研究者评估的ORR为62.5%(CR 37.5%、PR 25.00%),DCR亦为100%。中位缓解持续时间(DOR)IRC评估为12.65个月(95%CI:4.60,22.21),研究者评估为10.48个月(95%CI:4.86,NE);研究者评估的中位总生存期(OS)为24.05个月(95%CI:17.15,不适用)。


SK-NK注射液是赛奥斯博生物研发的一款通用现货型NK细胞产品,采用非基因改造技术处理同种异体NK细胞,在提升有效性的同时强化安全性保障,可广泛适用于多种晚期恶性肿瘤伴腹水患者。
2025年12月4日,SK-NK注射液获国家药品监督管理局药品审评中心临床试验默示许可(IND),适应症为晚期或转移性恶性实体肿瘤伴恶性腹水。
目前,其有效性与安全性IIT临床试验已在天津市肿瘤医院启动;临床前研究进一步证实,该注射液能显著提升此类患者的治疗效果,为不同类型、不同阶段的晚期恶性实体肿瘤伴恶性腹水患者,带来细胞治疗的新选择与希望。

▲截图源自“NMPA”


ZMPB-NK006注射液是河北美欧赛奥金生物研发的一款现货型NK细胞,同时也是是全球首个现货型NK细胞疗法。2025年,中国国家药品监督管理局(NMPA)批准该注射液的新药临床试验(IND)申请,拟用于晚期或转移性恶性实体肿瘤治疗。
该疗法的NK细胞源自健康供体脐带血,核心优势为无需配型、即取即用、批量生产,不仅破解了实体瘤患者因病情进展快错失治疗窗口的临床困境,更能凭借普惠成本重塑全球癌症治疗格局,为肺癌、肠癌、肝癌、胃癌等实体瘤患者带来新希望。

▲截图源自“NMPA”
NK细胞可在第一时间发现并启动人体的免疫防御机制,及时发现并将癌细胞扼杀在“摇篮”里,是公认的抗癌第一道防线。多项临床研究也表明,NK细胞疗法具有很高的安全性和有效性,可以实现强效、通用和现成的免疫细胞疗法的前景,而且还可与DC细胞疫苗等疗法“强强联合”,是抗癌疗法中冉冉升起的新星!
全球原研药仿制药资讯论坛小编也希望通过这篇文章能让更多病友,了解到NK细胞疗法的前沿进展及其在实体瘤和血液肿瘤中的应用,为广大癌友带来新的希望与选择!如果您对现有治疗方案不满意,或想寻求NK细胞、CAR-NK细胞、DC疫苗等抗癌新技术的帮助,可将治疗经历、近期病理检查报告、出院小结等,提交给我们,进行初步评估。


参与临床试验,获取国际前沿新药免费使用机会!更有一线专家团队为你的治疗保驾护航!
相关免费临床招募
PS.如果你正在寻找新药临床项目,欢迎扫码添加微信咨询,帮你少走冤枉路,不花冤枉钱,也欢迎转发给身边其他病友~
新药免费临床招募,推荐有礼!
全国各地临床项目,招募初中晚期肿瘤治疗失败、复发、转移、耐药的患者可入组,免费靶向、免疫、化疗、基因、cart治疗,慢性病(牛皮癣、强直性脊柱炎、糖尿病、高血压、高血脂、荨麻疹、斑秃、脑梗等)、白血病患者免费治疗,如果身边有认识这些病友,可以把这个好消息告诉他们,你的一句转达或许可以挽救一条生命。

主要排除条件
1、使用研究药物首次给药前4周内接受过重大手术的患者或研究期间需要进行重大手术者;
2、有严重的内科疾病,比如严重的心脏病,控制不稳定的高血压,不稳定的传染病(如乙肝)或主要器官功能异常。
※ 以上为受试者入选排除标准的部分主要内容,全面的入组判定标准由研究医生根据研究方案要求详细确认。
患者获益
1、研究期间所使用的试验药物和相关检查检验均免费;
2、根据完成的访视与采血提供一定的交通和营养补偿。
联系咨询电话:187 4940 1825
全球药品资讯论坛微信号:qqyyyfzyzxlt
病历发送邮箱:zzhfzy@sohu.com
如您身边有合适的患者,欢迎推荐
报名成功后,招募人员会在3个工作日与您取得联系
[1]Nieto Y,et al.Allogeneic NK cells with a bispecific innate cell engager in refractory relapsed lymphoma: a phase 1 trial. Nat Med. 2025 Apr 4.
https://www.nature.com/articles/s41591-025-03640-8
[2]Strati P,et al.Off-the-shelf induced pluripotent stem-cell-derived natural killer-cell therapy in relapsed or refractory B-cell lymphoma: a multicentre, open-label, phase 1 study[J]. The Lancet Haematology, 2025, 12(7): e505-e515.
https://www.thelancet.com/journals/lanhae/article/PIIS2352-3026(25)00142-5/abstract
[3]Tan Q,et al.Dynamic transcriptional immune landscape in response to NK-cell therapy combined with gemcitabine plus S-1 in advanced pancreatic cancer: a phase 1b/2 trial[J]. Signal Transduction and Targeted Therapy, 2025, 10(1): 381.
https://www.nature.com/articles/s41392-025-02488-1
[4]Mahdizadeh H,et al.The safety and feasibility of multiple intrathecal injections of allogenic NK cells in pediatrics with refractory/recurrent brain tumors[J]. BMC cancer, 2025, 25(1): 952.
https://bmccancer.biomedcentral.com/articles/10.1186/s12885-025-14314-6
[5]Bae W K,et al.PP086 A phase IIa study of autologous natural killer cells with hepatic arterial infusion chemotherapy in patients with locally advanced hepatocellular carcinoma[J]. ESMO Open, 2025, 10.
https://www.esmoopen.com/article/S2059-7029(24)01789-7/fulltext
生成海报
长按扫码关注公众号