57 岁的M先生从未想过,自己能在确诊肺癌后击退肿瘤,更让他万万没想到的是,一款“神奇”的肺癌疫苗让他能实现 8 年超长无癌生存,CT 图像上,肺部始终保持干净,未见任何肿瘤复发迹象。


4周化疗后双肺后部肿块完全消失,随后接受肺癌疫苗治疗,持续完全缓解长达8年
2025年,医学界终于亮出抗癌终极武器:癌症疫苗。这类疗法通过激活人体"免疫记忆",形成终身抗癌防线,让"治愈癌症"从幻想迈向现实!
新抗原是肿瘤细胞特有的 “突变标记”,就像癌细胞的 “身份证”,正常细胞没有。研究团队通过全外显子组测序和 RNA 测序,从患者的肿瘤组织中筛选出 12-30 个专属新抗原,再将这些新抗原 “脉冲” 到患者自身的树突状细胞(DC 细胞)上 ——DC 细胞是免疫系统的 “侦察兵”,一旦识别新抗原,就会激活 T 细胞(“抗癌战士”),精准追杀携带这些标记的癌细胞。
这种 “私人定制” 的特点,让疫苗既能精准打击肿瘤,又不伤害正常细胞,从根源上解决了传统治疗 “杀敌一千、自损八百” 的弊端。

一项由国内两家医疗中心开展的先导研究(ChiCTR-ONC-16009100,NCT02956551),纳入的全是经过多线治疗后进展的晚期肺癌患者,包括鳞状细胞癌、腺癌、小细胞肺癌等,几乎涵盖了常见的肺癌类型。他们接受的是 “Neo-DCVac” 个性化疫苗治疗,具体结果令人振奋:
疾病控制率 75%:12 例患者中,3 例(25%)达到部分缓解(肿瘤缩小≥30%),6 例(50%)肿瘤稳定,只有 3 例(25%)出现进展。其中 1 例患者的肿瘤控制时间已超过 10 个月,远超之前的治疗效果。
生存期显著延长:中位无进展生存期(PFS)达 5.5 个月,中位总生存期(OS)7.9 个月 —— 要知道,这些患者都是经过多线治疗失败的晚期病例,原本预期生存期可能仅 3-6 个月。
安全性 “零担忧”:所有副作用都是 1-2 级,最常见的是注射部位轻微红肿(1 级),仅 1 例出现短暂中性粒细胞减少(1 级),1 例出现轻度皮疹(2 级),无需特殊处理即可缓解,更没有患者因副作用停药。
对比传统化疗动辄出现的恶心呕吐、骨髓抑制,这种疫苗的安全性堪称 “友好”,患者治疗期间生活质量几乎不受影响。

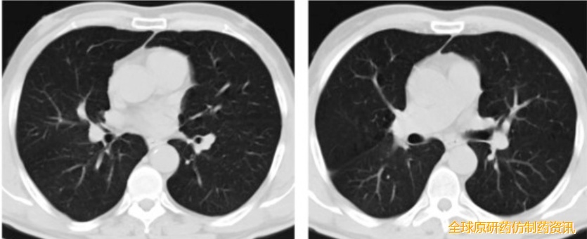
这位幸运的患者既往接受三线化疗和放疗均失败,但在使用 Neo-DCVac 后 7.6 个月内未出现任何疾病进展迹象。在五剂个性化Neo -DCVac 免疫治疗之前和之后进行 CT 扫描显示肿瘤靶病灶显著消退。


这位患者同样也经历三线化疗、放疗和 PD-1 抑制剂治疗失败,在 Neo-DCVac 治疗后,肿瘤靶病灶缩小了 29%。




2024年5月,来自伦敦的 67 岁人工智能科学家 Janusz Racz 确诊为晚期肺癌,接受化疗和放疗后,他积极的参加了mRNA疫苗的临床试验,并成为英国首位接种该疫苗的人。
我也是一名科学家,我明白科学的进步——尤其是医学领域的进步——取决于人们是否同意参与此类研究--詹努什·拉茨
拉茨在美国国立卫生研究院 UCLH 临床研究中心接受了 6 次连续注射,每次间隔 5 分钟,共持续 30 分钟。疫苗接种方案包括每周注射 1次连续6周,然后每 3 周注射 1 次,共持续 54 周。
这种疫苗名为 BNT116,由 BioNTech 制造,使用与 Covid-19 疫苗类似的信使 RNA (mRNA),编码六种常见于非小细胞肺癌 (NSCLC) 的共同抗原,旨在触发这种肿瘤类型的患者产生强烈而精确的免疫反应,从而指导人体追捕并杀死癌细胞,然后防止癌细胞复发。目的是增强人体对癌症的免疫反应,同时与化疗不同,不影响健康细胞。
第 1 阶段临床试验是 BNT116 的首次人体研究,已在英国、美国、德国、匈牙利、波兰、西班牙和土耳其 7 个国家的 34 个研究地点启动。共约有 130 名患者(从手术或放疗前的早期患者到晚期患者或复发性癌症患者)将接受疫苗注射和免疫疗法治疗。其中约有 20 名患者来自英国。
此外,一项代号为LuCa-MERIT-1 第 1 阶段研究 ( NCT05142189 )的首批临床数据即将公布,该研究使用BNT116 单独治疗或与 cemiplimab 联合治疗晚期、不可切除或转移性 NSCLC 患者。数据显示,在接受过大量治疗的晚期 NSCLC 患者中,初始临床活性令人鼓舞,且安全性可耐受。

患有 2、3A 或 3B 期 NSCLC,且在过去 6 个月内通过手术切除。
手术后接受过至少一剂铂类化疗。
在接受研究治疗前至少 4 周已完成任何先前化疗。不允许接受过针对 NSCLC 的先前免疫治疗。
【项目名称】评价Vx-001在晚期实体瘤/非小细胞肺癌患者中的安全性、免疫原性和临床抗肿瘤效果的剂量递增和扩展临床研究。
【入排信息(部分)】:
1.经组织学和/或细胞学明确诊断为局部晚期或复发、转移性非小细胞肺癌患者,既往PD-1/PD-L1 治疗失败或不适合 PD-1/PD.L1治疗,且接受过完整含铂类化疗治疗(4~6 个疗程)后,无疾病进展;
2.18 周岁≤年龄≤75 周岁,性别不限;
3.患者 HLA 抗原检测必须含有 HLAA*0201型(多肽呈递的基序仅与该 HLA 分子匹配)TERT 表达阳性且肿瘤浸润淋巴细胞(CD3/CD8 TILS)表达为阴性4)根据实体瘤疗效评价标准(RECISTv1.1),具有至少一个可测量病灶。
我们期待癌症疫苗能早日获批,让癌症治疗开启一个全新的时代!


参与临床试验,获取国际前沿新药免费使用机会!更有一线专家团队为你的治疗保驾护航!
相关免费临床招募
PS.如果你正在寻找新药临床项目,欢迎扫码添加微信咨询,帮你少走冤枉路,不花冤枉钱,也欢迎转发给身边其他病友~
新药免费临床招募,推荐有礼!
全国各地临床项目,招募初中晚期肿瘤治疗失败、复发、转移、耐药的患者可入组,免费靶向、免疫、化疗、基因、cart治疗,慢性病(牛皮癣、强直性脊柱炎、糖尿病、高血压、高血脂、荨麻疹、斑秃、脑梗等)、白血病患者免费治疗,如果身边有认识这些病友,可以把这个好消息告诉他们,你的一句转达或许可以挽救一条生命。

主要排除条件
1、使用研究药物首次给药前4周内接受过重大手术的患者或研究期间需要进行重大手术者;
2、有严重的内科疾病,比如严重的心脏病,控制不稳定的高血压,不稳定的传染病(如乙肝)或主要器官功能异常。
※ 以上为受试者入选排除标准的部分主要内容,全面的入组判定标准由研究医生根据研究方案要求详细确认。
患者获益
1、研究期间所使用的试验药物和相关检查检验均免费;
2、根据完成的访视与采血提供一定的交通和营养补偿。
联系咨询电话:187 4940 1825
全球药品资讯论坛微信号:qqyyyfzyzxlt
病历发送邮箱:zzhfzy@sohu.com
如您身边有合适的患者,欢迎推荐
报名成功后,招募人员会在3个工作日与您取得联系
生成海报
长按扫码关注公众号