前言
食管癌是常见的消化道恶性肿瘤之一,因其高发病率和死亡率已成为全球公共卫生领域的重要挑战。随着多学科综合治疗模式的不断发展,放射治疗、免疫治疗等手段在食管癌各治疗阶段的应用日益广泛,明显延长了患者生存期1。本期分享由连云港市第二人民医院屠婷婷教授提供的食管癌病例——患者经胸食管恶性肿瘤根治术治疗后疾病进展至晚期,通过放疗、阿得贝利单抗治疗快速实现疾病部分缓解(PR),且维持治疗期间疾病控制稳定,同时特邀连云港市第二人民医院陈程教授进行点评,希望为临床诊疗提供参考。
病例点评专家
陈程 教授
病例分享专家
屠婷婷 教授
病例资料
基本情况
患者男,60岁。
既往体健,否认慢性病史,否认烟酒史,否认药物过敏史。
身高:172cm,体重:67KG,体表面积:1.88m2。
治疗经过
► 初始诊断与手术治疗
2019-12,因“进食哽噎感3周”于外院就诊。胃镜示:距门齿约32cm见食管粘膜粗糙,高低不平,质脆触之易出血,考虑食管癌。
2019-12-16,行“经胸食管恶性肿瘤根治术”。术后病理:(食管)鳞形上皮癌II级,癌组织已浸润管壁深肌层,切缘(-),食管旁淋巴结3枚未见癌转移(0/3),单送食管旁淋巴结1枚未见癌转移(0/1),胃左淋巴结3枚未见癌转移(0/3),吻合圈1枚,未见癌转移。术后分期:pT2N0M0,IB期,术后行辅助化疗,具体方案不详。
► 疾病进展与进一步诊断
2023年起患者出现反复咳嗽并逐渐加重。
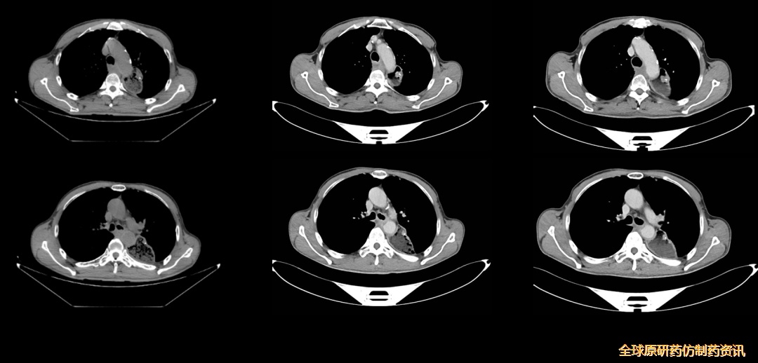
2024-07-10,PET-CT示:左侧胸腔胃,吻合口区FDG代谢未见增高;后纵膈不规则形软组织影,FDG代谢异常增高,SUVmax=7.6,与气管、降主动脉、胸椎前缘界限模糊,前方气管受压、向气管内突入,考虑食管癌术后转移,累及气管、降主动脉、胸椎前缘。



图1 影像学检查(2024-07-10)
2024-07-16,行气管镜检查,病理示:左主支气管开口:鳞状细胞癌。免疫组化:P63+ P40+ CK5/6+ Ki6735%+ NapsinA-CK7- CD44+ syn-Vim间质+ TTF-1-。

图2 病理镜下检查
► 综合治疗
2024-07-19、2024-08-13、2024-09-04、2024-09-27、2024-10-25、2024-11-26,行6周期“紫杉醇胶束360mg化疗及阿得贝利单抗1200mg免疫治疗”。
2024-07-23开始行后纵隔转移灶及左主支气管近端转移灶姑息性放疗,DT 50Gy/25F。

图3 患者接受灶姑息性放疗

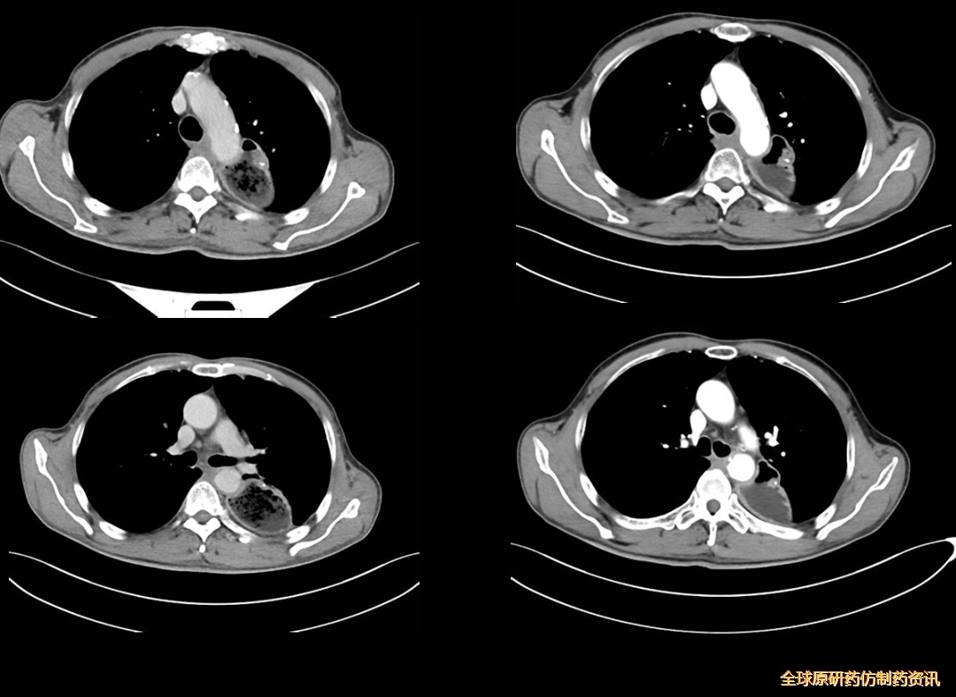
图4 影像学检查结果对比
疗效评估:PR
► 免疫维持治疗
2025-01-09、2025-02-13、2025-03-13、2025-04-21、2025-04-21、2025-05-15、2025-06-12、2025-07-03、2025-07-31、2025-08-29行“阿得贝利单抗1200mg”免疫维持治疗。

图5 影像学检查结果对比
免疫维持期间疗效评估:SD
2025-04-18,无痛胃镜检查结果:食管术后;吻合口溃疡;残胃炎。
2025-04-21,纤维支气管镜检查报告:正常支气管征象。
► 肿瘤标记物变化

► 安全性评价
治疗期间患者整体耐受性良好,仅出现1级甲状腺功能异常(2024年11月25日检查显示甲状腺素171.56mmol/L,参考区间69.97-152.52mmol/L),未出现肺炎、骨髓抑制、肝功能异常、心肌炎、垂体炎、胃肠炎、皮疹等其他副反应,且未对甲状腺功能异常进行特殊处理,未影响治疗进程。
病例小结
患者为60岁男性食管癌术后(pT2N0M0,IB期)患者,2023年出现疾病进展(反复咳嗽加重),2024-07-19至2024-11-26行6周期紫杉醇胶束化疗及阿得贝利单抗免疫治疗。2024-07-23开始行后纵隔转移灶及左主支气管近端转移灶姑息性放疗。疗效评估为PR。2025-01-09至2025-08-29行阿得贝利单抗免疫维持治疗。免疫维持期间疗效评估为SD。治疗期间,患者仅出现1级甲状腺功能异常,无其他严重副反应,耐受性良好。
专家点评
食管癌作为高发病率和死亡率的恶性肿瘤之一,严重威胁我国居民的生命健康安全。随着诊疗模式的革新和发展,食管癌患者的生存时间逐渐延长。众所周知,肿瘤免疫与肿瘤的发生发展息息相关,免疫治疗正深刻改变着国内外肿瘤领域的研究方向。近年来,免疫检查点抑制剂(包括PD-1抑制剂、PD-L1抑制剂等)全面布局食管癌领域,从后线到一线,从单药到联合,免疫治疗彻底改变了晚期食管癌的治疗格局。同时围手术期免疫治疗的探索也在不断推进,有望为更多的食管癌患者带来新希望1。
目前,国内已上市多种PD-L1抑制剂,其中阿得贝利单抗是全新一代PD-L1抑制剂,其抗体类型为IgG4抗体,无ADCC和CDC效应,并进行了FC段AA突变改造,去除和巨噬细胞表面FCγR结合的能力,消除ADCP效应,抗体更纯净、耐受性更优。中国医学科学院肿瘤医院黄镜教授牵头开展的一项前瞻性、多中心、开放标签、II期研究,评估了阿得贝利单抗联合化疗作为晚期食管鳞癌患者一线治疗的疗效与安全性。研究共纳入23例患者,给予阿得贝利单抗+伊利替康+氟尿嘧啶治疗,主要终点为意向治疗(ITT)人群的无进展生存期(PFS);次要终点为客观缓解率(ORR)、疾病控制率(DCR)、总生存期(OS)和安全性。中位随访时间15.2个月,中位PFS为8.5个月,中位OS为11.6个月;ORR和DCR分别为52.2%和73.9%。在安全性方面,没有发生与治疗相关的死亡2。该研究结果证实,阿得贝利单抗联合化疗治疗晚期食管癌显示出良好获益和可控的安全性,为该类患者的治疗再添新选择。
本例为食管癌术后复发转移患者,病情进展至晚期且累及气管、大血管等重要结构,治疗难度较大。临床采用“阿得贝利单抗联合紫杉醇胶束化疗+转移灶姑息性放疗”的综合治疗方案,快速实现PR,后续免疫维持治疗持续维持SD,整个治疗过程仅出现1级甲状腺功能异常,无其他严重副反应,这一临床实践结果与上述Ⅱ期研究结论相契合,进一步验证了阿得贝利单抗联合治疗在晚期食管癌中的有效性与安全性。
综上所述,阿得贝利单抗凭借独特的药物设计及良好的临床表现,已成为食管癌治疗的重要选择。未来,随着更多个体化治疗策略的优化、免疫治疗与其他治疗手段联合模式的深入探索,以及在围手术期等更多治疗阶段的应用研究,食管癌患者的诊疗前景将更加广阔,有望实现更长生存与更高生活质量的目标。
参考文献:
1. 中国抗癌协会食管肿瘤整合康复专业委员会.食管癌免疫检查点抑制剂临床应用全程管理专家共识. 中国医学前沿杂志(电子版),2024,16(07):1-21.
2. Mu L, et al. SHR-1316, an anti-PD-L1 antibody, plus chemotherapy as the first-line treatment for advanced esophageal squamous cell carcinoma: A multicentre, phase 2 study. Thorac Cancer. 2021;12(9):1373-1381.
撰写:Robert
审校:Robert
排版:Kenken
执行:Babel
本平台旨在为医疗卫生专业人士传递更多医学信息。本平台发布的内容,不能以任何方式取代专业的医疗指导,也不应被视为诊疗建议。如该等信息被用于了解医学信息以外的目的,本平台不承担相关责任。本平台对发布的内容,并不代表同意其描述和观点。若涉及版权问题,烦请权利人与我们联系,我们将尽快处理。
生成海报
长按扫码关注公众号