前言
PIK3CA基因突变是HR+/HER2-晚期乳腺癌常见的突变类型,通过激活PI3K/AKT/mTOR通路导致内分泌耐药,并与患者预后不良相关[1-2]。随着高选择性PI3Kα抑制剂伊那利塞的获批,PIK3CA突变乳腺癌患者迎来了新的治疗希望。伊那利塞联合CDK4/6抑制剂与氟维司群的三药联合方案在INAVO120研究中展现出确切的疗效和可控的安全性,开启了PIK3CA突变型HR+/HER2-乳腺癌靶向治疗新纪元。据此,本期《精准伊线》栏目特邀浙江大学医学院附属邵逸夫医院王娴教授与陆海琦教授,聚焦一例伊那利塞治疗HR阳性晚期乳腺癌的诊疗经过,分享伊那利塞在HR+/HER2-乳腺癌中的临床应用经验,为乳腺癌临床实践提供更多参考。
病例介绍
患者情况:
患者,女,59岁;已绝经(50岁),因“右乳癌术后6年余,肺转移癌术后8月余”于2025-5-18入院。既往行右乳癌保乳根治术、右乳癌改良根治术、肺转移癌部分切除术。
外院诊疗经过:
2018-11-14
于外院行右乳癌保乳根治术,术后病理示右乳粘液癌伴浸润性微乳头状癌。免疫组化:CK5/6(-),P63(-),EMA(微乳头外缘+),E-cad(微乳头外缘-),ER(90%+)、PR(10%+)、HER-2(-)、AR(90%+)、CD34(血管内皮+)、p53(-)、Ki-67(35%+)。术后分期不详。2018-12-06行EC-T方案化疗,放疗,口服阿那曲唑内分泌治疗(约3年)。
2022-1-7
局部复发,伴右侧腋下淋巴结转移,行右腋下淋巴结穿刺,病理示浸润性癌,考虑乳腺来源。免疫组化示ER(90%,3+),PR(-),AR(90%,2+),HER2(0),ki67 (15%+)。
2022-1-22
外院行右乳改良根治术,术后病理示:乳腺浸润性导管癌II级伴有微乳头结构和黏液分泌及淋巴结转移。淋巴结转移情况:自检腋窝淋巴结1/2,送检“右腋窝淋巴结”0/1见癌转移。免疫组化:A片:ER(90%,3+),PR(-),AR(80%1+),HER2(1+),ki67 (15%+);B片:ER(95%,3+)、PR(-)、AR(80%,2+)、HER-2(0)。术后行CDK4/6抑制剂+氟维司群内分泌治疗2年半至复发。
2024-09
发现肺转移,于外院行肺转移病灶切除,术后病理:(右肺上叶尖段)转移性癌,符合乳腺癌转移,ER(弱,1%),PR(-),HER2(1+)。后行艾立布林化疗9周期。
我院诊疗经过:
2025-5-18:
患者自诉右侧腋窝可及大小约2*1.5cm结节,局部皮肤破溃伴渗液。遂于我院就诊。
查体:右侧腋窝皮肤红肿伴破溃,少量渗液。胸部陈旧性手术瘢痕,愈合可。其余无特殊。
2025-5-15行PET-CT:
右乳术后复查:右侧胸壁术后改变;右侧腋窝结节(1.6*1.5cm),考虑转移或复发;右侧锁骨区散在淋巴结转移;b.右肺上叶术后改变;双肺多发小结节,FDG代谢未见增高,建议随诊;c.L4椎体及L5棘突FDG代谢增高,转移待排,建议结合增强MR检查或密切随诊。
2025-5-20:
腰椎MR增强:结合病史,L4腰椎,L5棘突转移需考虑。
颅脑MR增强:颅脑MR扫描颅内未见明显异常。
2025-5-22行B超引导下右侧锁骨上淋巴结穿刺活检:
病理:(右侧锁骨上淋巴结穿刺)见转移性低分化癌,伴大量坏死,结合病史及免疫组化符合乳腺来源。
免疫组化:CK-pan(AE1/AE3)(+)、ER(约80%,中等-强+)、PR(-)、Her2(0),Ki67(约30%+),GATA-3(+),PD-L1(22C3):CPS<5。
初步诊断:乳腺恶性肿瘤 rTxNxM1 IV 期、肺继发恶性肿瘤、淋巴结继发恶性肿瘤、骨继发恶性肿瘤。
治疗:
2025-5-23起:
行另一种CDK4/6抑制剂+氟维司群内分泌治疗,待基因检测回报。
基因检测:PIK3CAp.E542K(Ⅰ类)

图1. 患者基因检测结果
2025-6-6起:
行伊那利塞+CDK4/6抑制剂+氟维司群内分泌治疗。伊那利塞:9mg,每天一次,4周为一个周期;CDK4/6抑制剂:每天1次,连续服用21天,停药7天;氟维司群:500mg,第1天和第15天肌肉注射,28天一个周期。
疗效评估:PR,患者疼痛改善,予地舒单抗(120mg q4w sc)抗骨质破坏。


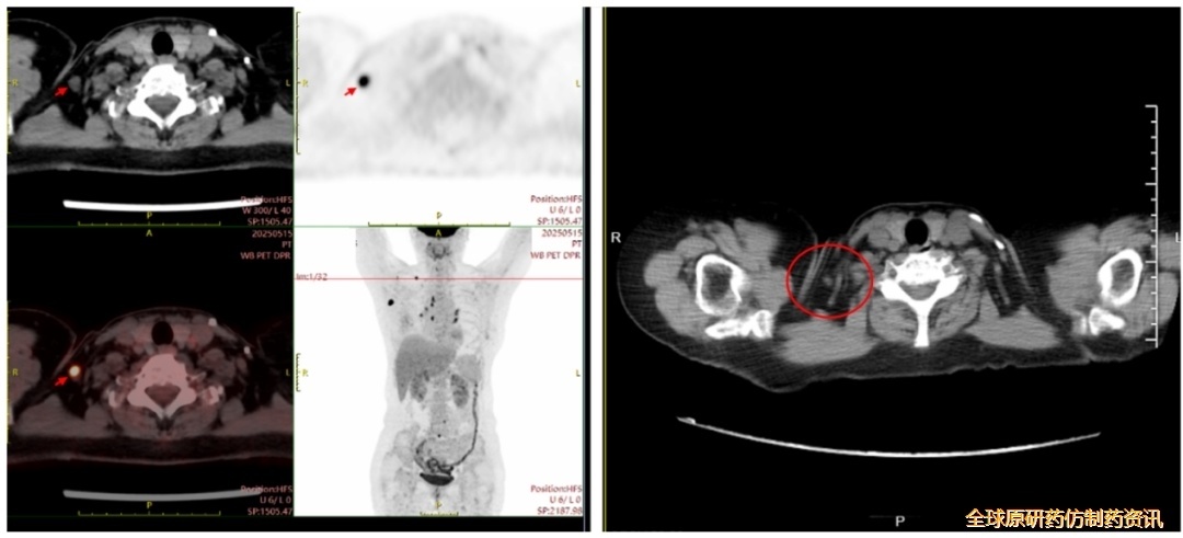
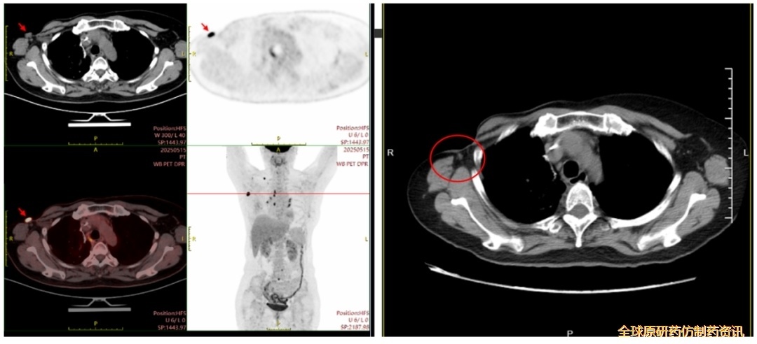
图2 .患者疗效评估
(图左:PET-CT检查,时间2025-5-15;图右:胸部CT检查,时间2025-7-22)
治疗过程中,患者出现白细胞减少(II级)、中性粒细胞减少(III级)及高血糖(II级),口服二甲双胍降糖出现腹泻,经内分泌科会诊后更换为格列吡嗪联合阿卡波糖,患者腹泻好转,降糖效果佳。
专家点评

Q1:能否请您简要梳理这位患者的诊治历程,包括关键检查结果、各阶段核心治疗方案及调整依据,并谈谈该病例中令您印象深刻的临床特点?
陆海琦教授
本例患者是一例59岁的绝经后HR+/HER2-女性乳腺癌患者,2018年首次行手术治疗,术后病理显示ER高表达(90%+),经辅助化疗、放疗及阿那曲唑辅助内分泌治疗3年后自行停药。2022年出现腋窝局部复发,病理示ER表达强阳(90%、3+),外院行CDK4/6抑制剂联合氟维司群治疗,病情稳定两年余。2024年发现肺转移,肺切除术后ER为1%,行艾立布林化疗,9周期后疾病进展,腋窝出现新发破溃结节。
2025年5月患者至我院就诊,PET-CT提示腋窝、锁骨上淋巴结及骨转移,完善锁骨上淋巴结穿刺活检提示仍为ER高表达,考虑患者既往CDK4/6抑制剂联合氟维司群PFS 2年+,且未出现内脏转移甚至内脏危象,疾病进展相对缓慢,予以跨线更换另一种CDK4/6抑制剂+氟维司群治疗。基因检测明确PIK3CA突变后,及时调整为伊那利塞+CDK4/6抑制剂+氟维司群三药联合方案,6周即达PR,患者疼痛减轻,生活质量明显改善,治疗过程中耐受性良好,不良反应(AE)主要为2级白细胞减少、3级中性粒细胞减少和2级高血糖,予以二甲双胍口服降糖后患者出现腹泻AE影响生活质量,经内分泌科会诊后更换为格列吡嗪联合阿卡波糖,患者腹泻好转,降糖效果良好。
这个病例给我印象最深的地方有以下几方面:其一,患者不同转移病灶ER表达展现出较强异质性,从原发灶90%+到肺转移灶1%,再到锁骨上转移灶80%,提示肿瘤分子特征的精准监测至关重要。其二,患者通过基因检测明确为PIK3CA突变,揭示了该患者存在潜在内分泌耐药的重要影响因素。基于INAVO120研究证据,及时采用伊那利塞三联方案,仅6周即达PR,取得了良好疗效。其三,不良反应可通过多学科协作进行管理。针对伊那利塞相关高血糖,初始选用二甲双胍控糖不耐受,及时联合内分泌科会诊调整为格列吡嗪联合阿卡波糖,在有效控糖的同时保障了治疗持续进行,实现了疗效与安全性的平衡。

Q2:在明确患者存在PIK3CA突变且已发生内分泌耐药后,您最终选择“伊那利塞+CDK4/6抑制剂+氟维司群”联合方案。能否请您谈谈这一方案选择的原因及考量?
陆海琦教授
PIK3CA基因突变是PI3K/AKT/mTOR通路常见的功能获得性突变,可导致通路组成性激活,是HR+/HER2-晚期乳腺癌患者预后不良的重要因素,并且仅通过抑制ER和CDK4/6可能无法改善其生存预后,成为临床治疗痛点[3-4]。
对此,全球Ⅲ期INAVO120研究带来了新的生存希望[5]。研究结果显示,对于PIK3CA突变的HR+/HER2-晚期乳腺癌患者,伊那利塞+CDK4/6抑制剂+氟维司群三药联合方案(伊那利塞组)的疗效显著优于标准的CDK4/6抑制剂联合氟维司群方案(对照组):伊那利塞组中位无进展生存期(PFS)长达17.2个月,较对照组的7.3个月显著延长9.9个月(HR=0.42,95%CI 0.32-0.55);中位总生存期(OS)达34.0个月,较对照组的27.0个月显著延长7个月(HR=0.67,95%CI 0.48-0.94,p=0.0190)。

图3. INAVO120研究PFS数据

图4.INAVO120研究OS数据
此外,伊那利塞组的中位至首次化疗时间(TFSC)较对照组更长(35.6个月 vs 12.6个月,HR=0.43,95%CI 0.30-0.60),提示伊那利塞三联方案可有效推迟化疗启动时间。

图5.INAVO120研究TFSC数据
安全性方面,伊那利塞组因AE导致的停药率低(仅6.8%),且未发现新的安全性信号。2025年3月,伊那利塞凭借INAVO120研究已获得NMPA批准,成为PIK3CA突变HR+/HER2-晚期乳腺癌患者的治疗新选择。
本例患者经阿那曲唑、CDK4/6抑制剂联合氟维司群等内分泌治疗后进展,基因检测显示存在PIK3CA p.E542K突变,存在明确的内分泌耐药不良因素,提示PI3K通路异常激活是内分泌耐药的重要机制,需在抑制ER和CDK4/6基础上同步阻断PI3K通路;在治疗药物选择方面,患者虽然既往经历多线治疗(内分泌治疗、化疗),但总体肿瘤进展相对缓慢,转移部位多为淋巴结、骨等,尚未出现内脏转移或内脏危象,同时患者既往化疗耐受性差,希望寻求生活质量更高的靶向治疗。而HR+/HER2-晚期乳腺癌治疗更强调排兵布阵,秉承“精准先行,有靶先打靶”的原则,应尽量推迟化疗、ADC等药物启动时间以减少相关不良反应,达到延长生存与改善患者生活质量的治疗目标。综合来看,伊那利塞三联方案的相关研究证据与患者的分子特征、治疗需求等高度契合,该方案是本例患者实现个体化精准治疗的合理选择。

Q3:患者在治疗期间出现高血糖且对二甲双胍不耐受,后续通过调整降糖方案实现了安全管理。能否请您结合临床经验,谈谈您在临床中如何建立安全性事件监测与管理体系?在平衡抗肿瘤治疗疗效与安全性方面,您有哪些实践经验或多学科协作模式可以分享?
陆海琦教授
在临床中,针对抗肿瘤治疗相关安全性事件需建立全程、动态的监测与管理体系[6]。治疗前需全面评估发生风险,以伊那利塞相关高血糖为例,治疗前需综合评估既往病史、以及是否存在相关风险因素(如糖化血红蛋白5.7%-6.4%,糖尿病前期,BMI≥30kg/m2,糖尿病家族史,妊娠期糖尿病史,任何其他增加高血糖风险的因素等),对高危患者提前制定干预计划[7]。治疗中需根据药物特性进行动态监测,例如伊那利塞相关高血糖多在治疗早期发生,我们会在治疗第一周内每3天监测空腹血糖,之后3周每周监测一次,逐步调整为每2周、每4周监测,确保及时发现安全性事件。若出现安全性事件,需遵循“分级干预、个体化调整”的策略,根据患者基础健康状况、肿瘤类型、治疗目标及不良反应类型制定个性化管理方案。
值得关注的是,多学科协作模式在不良反应管理中具有重要作用[8]。尤其是复杂的安全性事件,可通过肿瘤内科与内分泌科、药剂科等多学科协作,进行联合评估、制定个性化方案。比如本例患者使用二甲双胍控制高血糖时出现腹泻,严重影响生活质量,积极寻求内分泌科专家会诊后,调整为格列吡嗪联合阿卡波糖方案,患者腹泻好转且降糖效果良好,充分体现了多学科协作的临床价值。
专家总结
王娴教授
在精准诊疗时代,“精准先行”已成为乳腺癌临床决策的重要原则,旨在通过精准监测明确患者特征,为个体化治疗提供科学依据。HR+/HER2-晚期乳腺癌患者中,PIK3CA基因突变的发生率约达35%-40%[9]。该突变作为PI3K/AKT/mTOR通路异常激活的关键驱动,对内分泌耐药及预后不良有重要影响。因此,明确PIK3CA基因突变状态并探索精准靶向PIK3CA突变的治疗方案对优化诊疗策略具有指导意义[2]。
伊那利塞是一种高选择性PI3Kα抑制剂及突变体降解剂,为PIK3CA突变患者带来了新的治疗选择。INAVO120研究证实,伊那利塞联合CDK4/6抑制剂和氟维司群的三药联合的一线方案,较CDK4/6抑制剂联合氟维司群方案可显著改善PIK3CA突变患者的中位PFS和中位OS,并延迟患者的至首次化疗时间,具有整体可耐受的安全性[5]。
本例患者经精准检测后明确为PIK3CA突变的内分泌耐药HR+/HER2-晚期乳腺癌,既往化疗及CDK4/6抑制剂联合内分泌治疗进展,及时采用伊那利塞三联方案,6周即达到PR,疼痛减轻且生活质量改善,证实了伊那利塞三联方案的确切疗效。目前,该患者仍在持续使用伊那利塞三联方案治疗,显示出良好的治疗耐受性,有望实现长期生存获益。未来,随着伊那利塞临床应用的深入,期待伊那利塞联合CDK4/6抑制剂和氟维司群这一精准治疗方案能惠及更多此类患者,助力实现长期生存与改善生活质量的双重获益!
王娴 教授
• 教授/主任医师, 肿瘤学博士生导师
• 浙江大学医学院附属邵逸夫医院肿瘤内科执行主任
• 浙江大学医学院附属邵逸夫医院乳腺疾病诊治中心副主任
• 浙江省卫生领军人才
• 中国医药教育协会临床抗肿瘤用药评价专委会副主委
• 浙江省医学会化疗与生物治疗专委会候任主委
• 浙江省抗癌协会肿瘤转移专委会副主委
• 浙江省抗癌协会精准治疗专委会副主委
• 浙江省转化医学会精准医学分会副主委
• 浙江省数理学会肿瘤康复专委会副主委
• 中国抗癌协会中西医整合肿瘤专委会委员
• 浙江省抗癌协会乳腺癌专委会常委等
陆海琦 教授
• 浙江大学医学院附属邵逸夫医院肿瘤内科
• 肿瘤学博士 副主任医师 硕士生导师 医疗组长
• 中国医药卫生事业发展基金会乳腺肿瘤学组常委
• 浙江省医学会肿瘤化疗与生物治疗分会青委会副主委
• 浙江省抗癌协会肿瘤转移专委会委员
• 浙江省抗癌协会家族遗传肿瘤专委会委员
• 浙江省抗癌协会肿瘤心脏病学专委会委员
• 浙江省抗癌协会肿瘤精准诊治专委会青委会副秘书长
• 浙江省抗癌协会肿瘤内科专业委员会青年委员
• 浙江省医学会肿瘤学分会青年委员
• 浙江省数理医学学会肿瘤支持治疗专委会青年委员
• 浙江省健康服务业促进会第一届肿瘤防治专业委员会
乳腺癌多学科诊治学组委员
• YBCSG长江学术带乳腺联盟委员会委员
• 浙江省科技专家库技术专家
• 广东省基金评审专家库专家
• 广东省高层次人才评审专家库专家
• 武汉市科技局专家库专家
• 哈佛大学医学院Dana-Farber癌症中心访问学者
编辑:Elan
审校:Elan
排版:Kenken
执行:Babel
本平台旨在为医疗卫生专业人士传递更多医学信息。本平台发布的内容,不能以任何方式取代专业的医疗指导,也不应被视为诊疗建议。如该等信息被用于了解医学信息以外的目的,本平台不承担相关责任。本平台对发布的内容,并不代表同意其描述和观点。若涉及版权问题,烦请权利人与我们联系,我们将尽快处理。
生成海报
长按扫码关注公众号