关注
全球药品资讯论坛 管理员
药品解析 24-12-1 浏览29
临床实例再证舒沃替尼突破EGFR exon20ins NSCLC二/后线治疗瓶颈

前言

表皮生长因子受体-酪氨酸激酶抑制剂(EGFR-TKI)已成为EGFR敏感突变晚期非小细胞肺癌(NSCLC)患者的标准治疗方案。然而,EGFR 20号外显子插入(exon20ins)突变作为EGFR第三大突变类型,其靶向药物研发却困难重重[1]。由于携带该突变类型的NSCLC具有恶性程度高、异质性强、预后差的特点,化疗、免疫治疗、传统EGFR-TKI等方案的临床疗效十分有限[2]。因此,EGFR exon20ins突变晚期NSCLC亟需寻求一种安全有效的靶向治疗策略。2023年8月,舒沃替尼获国家药品监督管理局批准,用于二/后线治疗EGFR exon20ins NSCLC患者,成为目前唯一*获批该适应证的EGFR-TKI。此外,舒沃替尼是《CSCO非小细胞肺癌诊疗指南(2024版)》针对经治EGFR exon20ins突变晚期NSCLC二线及后线治疗的唯一Ⅰ级推荐方案,并陆续获中国各大权威指南高级别推荐[3-5]。同时,舒沃替尼也已成为迄今为止全线治疗EGFR exon20ins NSCLC首个且唯一*的中、美“突破性疗法认定”大满贯得主,代表其在该领域带来突破治疗新格局的潜力。凭借其针对EGFR exon20ins NSCLC的出众疗效和良好安全性,舒沃替尼已成为该类患者的标准治疗方案。近日,舒沃替尼用于含铂化疗进展或不耐受的EGFR exon20ins NSCLC适应证已被正式纳入2025年新版国家医保目录,极大提高了药物可及性,将惠及更多EGFR exon20ins NSCLC患者。


本文分享3例EGFR exon20ins突变晚期NSCLC患者二/后线接受舒沃替尼治疗肿瘤病灶缩小,且持续获益均超过7个月,目前最长无进展生存期(PFS)已超过13个月,为临床实践中经治EGFR exon20ins NSCLC患者使用舒沃替尼提供真实世界案例参考。

固定布局                                                        
工具条上设置固定宽高
背景可以设置被包含
可以完美对齐背景图和文字
以及制作自己的模板


病例1:EGFR exon20ins NSCLC,术后经辅助化疗、免疫治疗及放疗后复发,二线治疗接受舒沃替尼单药(300mg QD)靶向治疗,病灶较治疗前缩小约60%,治疗7个月疗效评估持续PR


基本信息:73岁男性,2017年4月因“四肢酸痛”就诊,胸部CT提示肺占位。2017年4月,行右上肺根治术。


术后诊断:肺癌(腺鳞癌,T2aN1M0 IIb期)。


术后检测(ARMS-PCR):无驱动基因突变


系统性治疗史:


  • 2017年6月2日,予以“紫杉醇+铂类化疗”术后辅助化疗4个周期。

  • 2019年3月,MRI示左侧枕叶转移性MT,予以“特瑞普利单抗治疗+脑部放疗”至2020年6月,左枕部转移灶未见明显显示;后予以“特瑞普利单抗”维持治疗,2020年10月脑内病灶消失。


舒沃替尼治疗史:


  • 2024年4月15日左肺尖占位较前增大,确诊为肺腺癌(ARMS-PCR检测EGFR exon20ins突变)。

  • 2024年4月20日开始口服“舒沃替尼”单药(300mg QD)靶向治疗,用药8周后复查CT示靶病灶较前明显缩小,从38mm×26mm缩小至26mm×14mm,肿瘤缩小比例约60%,疗效评估达PR(图1)。治疗期间出现I级腹泻、皮疹、口腔溃疡,经对症处理已好转,整体安全性良好,可控易恢复。截至发稿日,患者仍在接受舒沃替尼单药治疗,持续治疗时间已超过7个月。


图1.患者接受舒沃替尼治疗前后影像学变化


病例2:EGFR exon20ins NSCLC合并淋巴结、骨转移,经化疗、化疗联合抗血管生成药物治疗后发生严重不良反应,三线治疗接受舒沃替尼单药(300mg QD)靶向治疗后快速缓解,PFS已超过13个月


基本信息:58岁男性,2022年10月19日因“刺激性干咳伴左肩背部疼痛1年余”就诊。


临床诊断:肺恶性肿瘤(中分化腺癌,cT3N3M1 Ⅳ期),肺门淋巴结、纵隔淋巴结、骨继发恶性肿瘤(多发胸椎、肋骨)。


NGS基因检测:EGFR exon20ins突变


系统性治疗史:


  • 2022年10月,根据指南推荐予以“白蛋白紫杉醇+顺铂”方案化疗,并对症治疗,予以“唑来磷酸”抗骨转移+“氨酚羟考酮”止痛对症治疗。

  • 2022年11月,行 “恩度+含铂双药化疗”方案,并开展支持治疗予以“唑来磷酸”抗骨转移+“羟考酮”+“硫培非格司亭”预防性升白。胸部CT增强示:右肺上叶结节较前变化不显著;多个椎体及肋骨异常密度影变化不显著。2023年3月,予以“恩度+培美曲塞”维持治疗。2023年8月,患者不良出现严重不良反应,包括严重乏力、反复出现Ⅳ级骨髓抑制。


舒沃替尼治疗史:


  • 2023年8月28日,予以“舒沃替尼“单药(300mg QD)靶向治疗。2024年8月复查CT示病灶较前有缩小,未见明显异常(图2)。治疗期间仅发生轻度甲沟炎,经对症处理后好转,整体安全性良好。截至发稿日,患者仍在接受舒沃替尼单药治疗,PFS已超过13个月,持续治疗时间近15个月。


图2. 患者接受舒沃替尼治疗前后影像学变化


病例3:EGFR exon20ins NSCLC合并双肺内、双肾上腺、脑、多发淋巴结及骨转移,经化免方案等多线治疗后疾病进展,四线治疗接受舒沃替尼单药(300mg QD)治疗后疗效评估达PR,PFS已超过12个月


基本信息:63岁女性,2021年11月因“无诱因出现咳嗽”就诊。


临床诊断:右肺腺癌(cT4N3M1c,IVb期),双肺内、双肾上腺、脑、多发淋巴结及骨转移。


基因检测(外周血):未见驱动基因突变


系统性治疗史:


  • 2021年12月,行“培美曲塞+卡铂+贝伐珠单抗+特瑞普利单抗”治疗6周期,予以“唑来膦酸”抗骨转移。后续 “培美曲塞+贝伐珠单抗+特瑞普利单抗”维持治疗12周期。

  • 2023年3月,骨扫描:骨转移增大、增多;头增强MRI+DWI:新见左侧额叶、右顶叶、右侧脑室旁、左颞叶转移瘤可能,予以“白蛋白型紫杉醇+特瑞普利单抗”治疗4周期。

  • 因疾病进展,2023年7月,行“吉西他滨+特瑞普利单抗”治疗2周期,患者出现头痛头晕症状,再次NGS检测EGFR exon20ins突变。


舒沃替尼治疗史:


  • NGS检测为EGFR exon20ins突变。

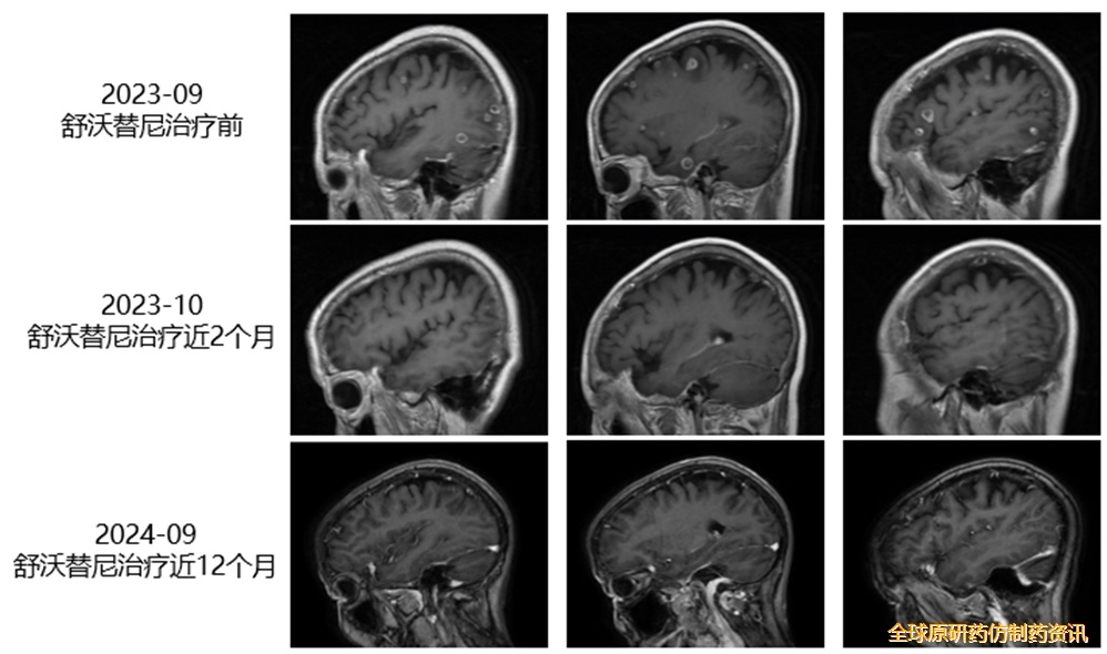
  • 2023年9月22日,予以“舒沃替尼(300mg QD)”治疗。复查头颅MRI示病灶缩小,颅内疗效评价为PR(图3),胸部CT增强示肺内病灶大小较前无明显变化(图4)。治疗期间患者仅出现轻度皮疹,整体安全性良好。截至2024年10月末次随访,PFS已超过12个月,持续治疗时间已超过14个月。


图3. 患者接受舒沃替尼治疗前后MRI影像学变化


图4. 患者接受舒沃替尼治疗前后肺部影像学变化


病例点评


白俊教授


自2004年在NSCLC中首次发现EGFR exon20ins突变至以来,已确认全球范围内有超100种突变亚型,呈现显著的分子异质性[6]。目前,PCR(聚合酶链式反应)仍是肺癌基因检测的常用方法,但其引物设计仅针对已知突变,无法识别未知变异类型。由于EGFR exon20ins突变类型众多[6],PCR检测存在覆盖不足的局限性,国外临床试验和真实世界数据均提示,仅使用PCR检测可能导致EGFR exon20ins突变的漏检率达50%[7-9]。随着检测技术的进步,二代测序(NGS)因其覆盖范围更广、灵敏度更高,可识别几乎所有EGFR exon20ins突变亚型,有望成为EGFR exon20ins突变检测的发展趋势。


本文病例3中,患者在传统PCR检测中未发现驱动基因突变,但通过NGS检测出EGFR exon20ins突变。在随后舒沃替尼单药治疗中,患者疗效评估均达部分缓解(PR),肿瘤负荷明显缩小。上述病例再次强调了精准检测EGFR exon20ins 突变对于优化治疗方案选择具有重要价值。今年发布的《非小细胞肺癌表皮生长因子受体20号外显子插入突变检测临床实践中国专家共识(2024版)》[1]也明确指出,在条件允许的情况下,应优先采用NGS检测,尤其是PCR检测结果为阴性时使用NGS 复测。通过推动检测关口前移,可进一步降低漏检风险,为EGFR exon20ins NSCLC患者的精准诊疗提供更科学的依据。


范越教授


EGFR exon20ins突变因其构象与野生型EGFR相似[10],药物治疗窗窄,疗效与安全性的平衡成为挑战。近年来,精准医学的发展和靶向药物的突破无疑为EGFR exon20ins NSCLC患者带来了更多的生存获益和新的治疗选择。中国注册研究“悟空6”(WU-KONG6)研究结果[11]显示,舒沃替尼针对经治EGFR exon20ins NSCLC患者客观缓解率(ORR)高达61%。国际多中心注册临床研究“悟空1B”(WU-KONG1B)结果[12]更是进一步验证了这一疗效,经治患者最佳ORR达53.3%,其中3例患者(2.8%)达到完全缓解,证实了舒沃替尼对不同人种、不同治疗线数患者的广泛适用性。


结合本文分享病例,舒沃替尼在后线治疗中均展现出显著的临床获益:病例1患者在用药8周后肿瘤缩小60%,并持续稳定;病例2患者伴有多发转移, PFS已超13个月,且数据还将持续延长;病例3患者的颅内病灶显著缩小,表明舒沃替尼对颅内病灶也有疗效。三个病例均从真实世界的角度进一步印证了其针对EGFR exon20ins NSCLC“高效的特点。综上,舒沃替尼在经治EGFR exon20ins NSCLC的治疗中显现出卓越的缩瘤能力和持久的生存获益,充分展现出同类最佳潜质,是该类患者的标准治疗方案,有力填补了该治疗领域空缺,为今后临床实践提供了更多参考依据。


斯晓燕教授


EGFR exon20ins NSCLC的治疗因其复杂性和挑战性长期缺乏有效方案[13]。舒沃替尼作为一款口服、强效、不可逆抑制的高选择性EGFR-TKI[14],为患者带来了高质量生存获益的同时,作为一款口服药物,相比静脉滴注的化疗方案,优化了患者治疗体验,有助于提升患者治疗依从性。中国注册临床研究“悟空6”(WU-KONG6)[11]显示,舒沃替尼治疗相关不良事件以1-2级为主,整体安全性可控且易于恢复,充分体现了其“低毒”的特点。凭借优异疗效和良好的安全性,舒沃替尼获得中国各大权威指南高级别推荐[3-5]


本文病例2患者因化疗联合抗血管生成治疗引发严重骨髓抑制导致治疗中断,转用舒沃替尼后病情迅速控制,PFS已超过13个月,期间仅出现轻度甲沟炎,对症处理后好转;病例1和病例3患者同样在治疗过程中仅出现I级常见EGFR-TKI不良反应,整体安全性良好且可控易恢复。本文三例患者均展现了持久的治疗获益,证明舒沃替尼不仅“高效低毒”,且其口服给药的便利性为患者带来了更好的用药体验,验证了舒沃替尼的临床价值。


舒沃替尼以“高效低毒”和便利性,优化了EGFR exon20ins NSCLC的治疗方案,并为临床实践树立了新的治疗标准。


截至2024年11月28日*


专家简介

白俊 教授

  • 陕西省人民医院肿瘤病院副院长,肿瘤内科主任

  • 李嘉诚基金会陕西省人民医院宁养院主任

  • 中国康复技术转化及发展促进会精准医学与肿瘤康复专业委员会 常委

  • 中国抗癌协会肿瘤整体评估专委会 常委

  • 陕西省抗癌协会肿瘤化疗专业委员会 副主任委员

  • 陕西省抗癌协会肿瘤生物治疗专业委员会 副主任委员

  • 陕西省抗癌协会第一、二、三届抗癌药物专业委员会 副主任委员

  • 陕西省药理学会第二届化疗药物专业委员会 副主任委员

  • 陕西省保健协会肝脏疾病防治专业委员会 副主任委员

  • 陕西省抗癌协会第四届肿瘤转移转移委员会 副主任委员


范越 教授

  • 复旦大学附属中山医院中西医结合肿瘤专科主任

  • 上海市老年医学中心中西医结合执行副主任

  • 复旦大学附属中山医院乳腺、胰腺、纵隔肿瘤MDT成员

  • 上海中西医结合医师协会肿瘤专业委员会,副主任委员

  • 上海中西医结合学会活血化瘀专委会副主任委员

  • CSCO中西医结合专业委员会 委员

  • 世界中医联合会整合肿瘤专业委员会 常务理事

  • 中华中医药学会综合医院中医药工作专业委员会 委员

  • 上海中西医结合学会综合医院中西医结合促进委员会 委员


斯晓燕 教授

  • 北京协和医院呼吸与危重症医学科副主任医师

  • 2015年在美国Emory大学做访问学者

  • 中国肺癌早诊早治能力提升工程第一届专家委员会 秘书

  • 中国医药教育协会肿瘤化学治疗专业青年委员会 常务委员

  • 北京整合医学学会介入诊疗转化医学分会 常委

  • 北京医学奖励基金会肺癌医学青年专家委员会 委员

  • 中国肺癌防治联盟预防委员会、全程管理委员会、青年委员会 委员

  • 掌握呼吸内科常见疾病的诊治,目前主要研究方向为肺癌的诊治,参与多个肺癌新药的临床研究

  • 在肺小结节诊治,肺癌靶向治疗、化疗、免疫治疗,肺癌脏器转移、并发症处理方面有丰富的临床经验


参考文献:(向上滑动阅览)

[1] EGFR 20外显子插入突变非小细胞肺癌规范化诊疗中国专家共识(2024版).

[2] Kwon CS, et al. Non-small cell lung cancer with EGFR exon 20 insertion mutation: a systematic literature review and meta-analysis of patient outcomes. Curr Med Res Opin, 2022, 38(8): 1341-1350.

[3] 中国临床肿瘤学会.CSCO非小细胞肺癌临床指南2024年版.

[4] IV期原发性肺癌中国治疗指南(2024版)

[5] 中华医学会肺癌临床诊疗指南(2024版)

[6] Arcila ME, et al. EGFR exon 20 insertion mutations in lung adenocarcinomas: prevalence, molecular heterogeneity, and clinicopathologic characteristics. Mol Cancer Ther. 2013;12(2):220-229.

[7] 非小细胞肺癌表皮生长因子受体 20号外显子插入突变检测临床实践中国专家共识(2024版)[J]. 中华肿瘤杂志, 2024, 46(3): 179-188.

[8] Ou S, et al. WCLC 2021 [abstract MA 14.01]

[9] Viteri S, et al. Mol Oncol, 2023, 17(2):230-237.

[10] Yasuda H et al. Sci Transl Med. 2013 Dec 18;5(216):216ra177

[11] Wang M, et al. Lancet Respir Med. 2024;12(3):217-224.

[12] James Chih-Hsin Yang, et al. 2024ASCO #8513.

[13] Sai-Hong Ignatius Ou, et al. 2021ASCO. Abstract#9098.

[14] Mengzhao Wang, et al. Cancer Discov OF1-OF14.


编辑:Coco

审校:Ari

排版:Yian

执行:Uni






本平台旨在为医疗卫生专业人士传递更多医学信息。本平台发布的内容,不能以任何方式取代专业的医疗指导,也不应被视为诊疗建议。如该等信息被用于了解医学信息以外的目的,本平台不承担相关责任。本平台对发布的内容,并不代表同意其描述和观点。若涉及版权问题,烦请权利人与我们联系,我们将尽快处理。


生成海报

打赏作者

更多
收藏
全球药品GlobalPharm
严禁一切销售、清关广告,违者封号。全球新药、仿制药、特药实时信息,传播药品知识,仅供参考,请遵医嘱。
全球药品GlobalPharm
长按扫码关注公众号
取消